A PICTURE PERFECT SMILE WITH
Same Day CEREC Crowns
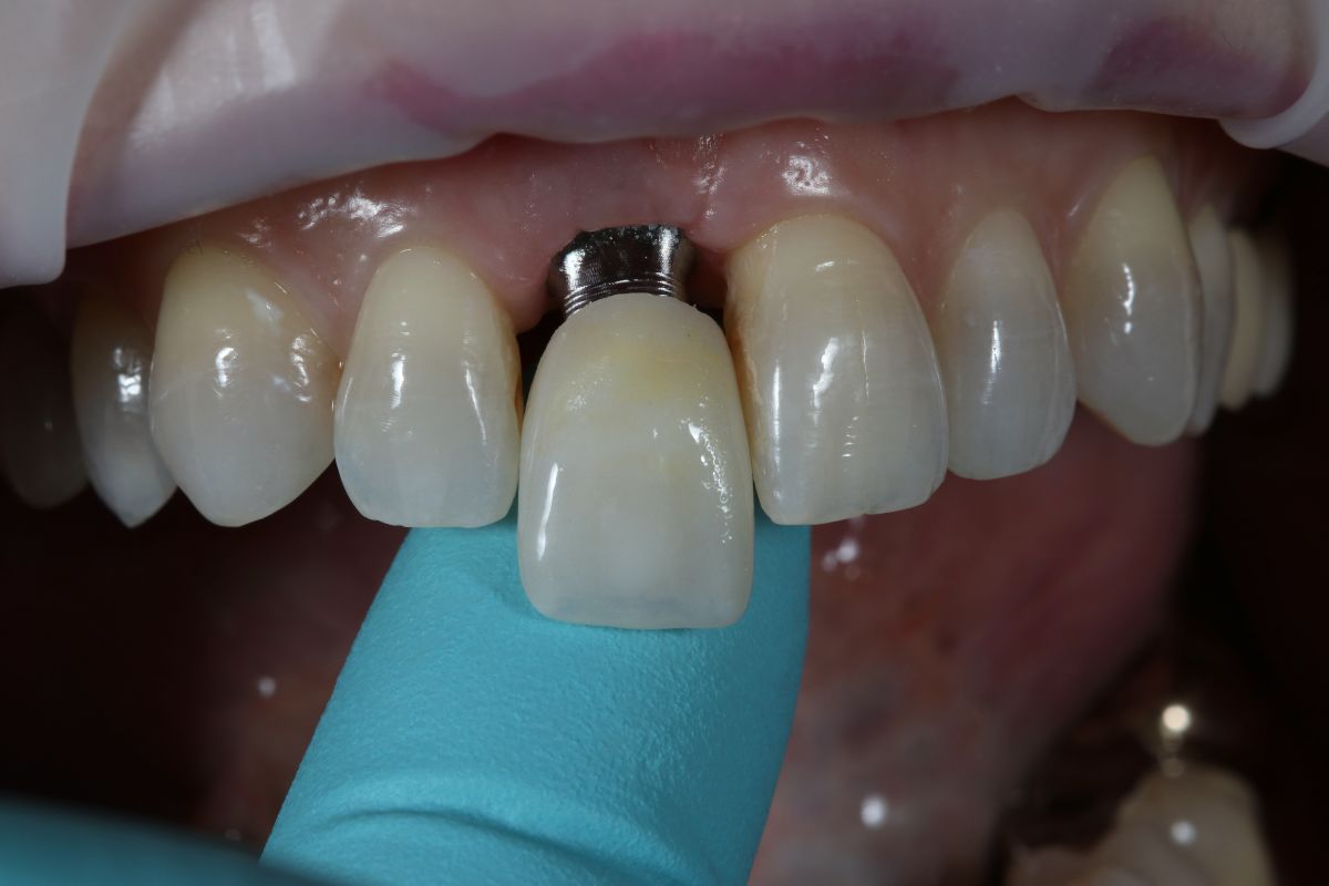
Chairside Economical Restoration of Esthetic Ceramics (CEREC) is a modern digital dentistry technology that allows Dr. Maher Albouz to create a custom-designed ceramic crown to restore a decayed or damaged tooth. The dental crown is shaped and colored to match the surrounding teeth using the CEREC technology. During the same appointment, the dentist will place your new crown.
CEREC same-day crowns are quick, durable, and convenient, serving as an efficient option for dental restorations. To design a CEREC same-day crown, all Dr. Maher Albouz needs to do is capture digital images of your teeth, and the CEREC system will fabricate your custom ceramic crown in a single visit.

Same Day Crowns
Receive your crowns the same day you walk in our office.Natural Looking
Customized to match your teeth.Pain Free
No pain is involved in the procedure.Stain Resistant
Extremely resistant to stains.SAME DAY CEREC PROCEDURE
Preparation and Digital Impressions
CEREC Crown Fabrication
CEREC Crown Placement
CEREC Crowns vs. Traditional Dental Crowns
CEREC crowns offer many benefits over traditional dental crowns, including:
No Temporary Crown
Shorter Appointment Time
No Need for Dental Impressions